




Everything you need to know about the product and billing.
Submit your non-binding inquiry to the service provider.
Have questions? Do we have answers?
We vet each service provider before they appear on the platform.
A service offered by Sladjan J..
Medical
Languages spoken: English, German, Russian
Vienna, Austria, 1100
Locations: At service location
Speaks English, German, Russian
Pay offline after the service
Get FREE Cancellation up to 24 hours before your appointment.
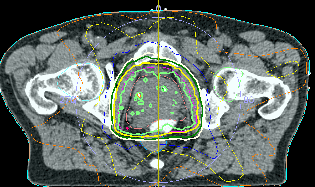
Consultation on radiation for prostate cancer including brachytherapy (seed implantation or HDR); modern organ-preserving therapy with gold markers and spacers
Speaks English, German, Russian
Pay offline after the service
Get FREE Cancellation up to 24 hours before your appointment.
Receive a confirmation email (check your spam folder!) and finalize details like address, duration, and payment with the provider.
Once agreed, the provider delivers the service on the scheduled date and time—hassle-free!
No. We help you avoid scams. Prices are fair and understandable in advance - no dubious surcharges and surprises
Absolutely. Your payment will be securely stored until you confirm that the order has been completed correctly. If something goes wrong, you'll be protected
We are there for you every step of the way. That's why we offer real-time dispute resolution and support (yes, even in English and Russian). You will never be left alone with your problem.
A4ord was designed with expats in mind, but the locals love us too. It doesn't matter if you're new to the city or live here forever - everyone deserves reliable help.